狗狗前列腺肿大的症状,狗狗前列腺肿大的症状表现?
本文摘要: 大家好,狗狗前列腺肿大的症状相信很多的网友都不是很明白,包括狗狗前列腺肿大的症状表现也是一样,不过没有关系,接下来就来为大家分享关于狗狗前列腺肿大的症状和狗狗前列腺肿大的症状表现的一些知识点,大家可以关注收藏,免得下次来找不到哦,下面我们开始吧!狗狗前列腺肿大怎么办呢狗狗前列腺肿大怎么办呢狗狗...
大家好,狗狗前列腺肿大的症状相信很多的网友都不是很明白,包括狗狗前列腺肿大的症状表现也是一样,不过没有关系,接下来就来为大家分享关于狗狗前列腺肿大的症状和狗狗前列腺肿大的症状表现的一些知识点,大家可以关注收藏,免得下次来找不到哦,下面我们开始吧!
狗狗前列腺肿大怎么办呢
狗狗前列腺肿大怎么办呢 狗狗前列腺肿大需要及时就医治疗,直接手术摘除狗狗的睾丸是最有效的处理方法。一般来说,前列腺肿大多见于6岁以上的老龄犬,60%以上的老年狗狗都有不同程度的前列腺肥大现象,主要症状表现为排便困难,同时伴随少尿、血尿和膀胱充盈等症状。
本病最有效、最简单的治疗方法是实行阉割术,大多数病犬会在阉割术后前列腺逐渐缩小,原有的症状得到改善或消除。但是如果犬主选取保守疗法,可用雌激素促进前列腺萎缩和减轻症状,每天口服消炎药或到宠物医院注射消炎针,但是实际效果有时并不理想,建议到医院做相应的检查,确诊后在对症治疗。
如果狗狗的前列腺肿大尿血是由前列腺增生引起的,手术治疗是常见的选取。特别是当增生严重到影响狗狗的生活质量时,可以考虑进行去势手术或前列腺摘除术。去势手术通过切除睾丸来控制雄性激素的分泌,有助于前列腺的萎缩。而前列腺摘除术则更为直接地解决了前列腺肿大的问题。

狗狗前列腺肿大的症状
前列腺肿大的症状包括:尿频、尿急、尿失禁、排便困难、排便不畅、腹部肿大、腹痛、贫血、食欲不振、体重减轻、性欲减退、精液变质等。如果您的狗狗出现了这些症状,建议尽快带它去看兽医。 治疗 治疗前列腺肿大的方法包括药物治疗和手术治疗。药物治疗包括使用抗生素、抗感染药物、抗炎药物、荷尔蒙治疗等。
狗狗前列腺囊肿的症状较为明显,通常包括以下几方面:排尿困难:这是最常见的症状,尿量可能减少,甚至出现尿失禁现象。腹部疼痛:狗狗可能会感觉到腹部疼痛,因此不愿意活动,食欲减退,精神状态也会变得萎靡。排便困难:由于囊肿对直肠的压迫,狗狗可能会出现排便困难。
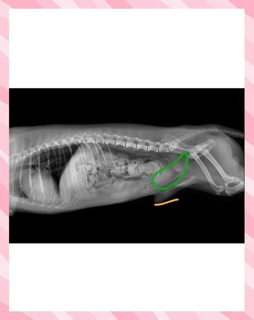
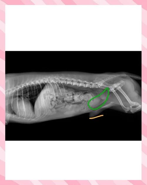
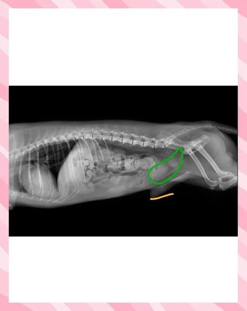
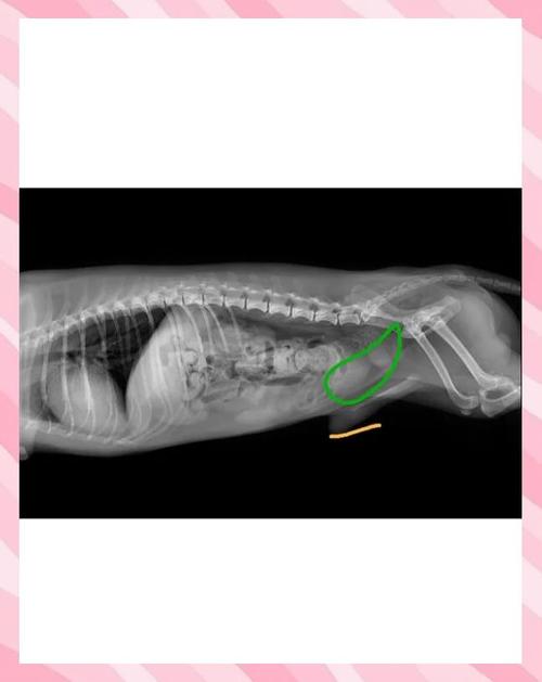
犬前列腺肥大临床症状 前列腺肥大是老龄公犬前列腺功能障碍的常见病。6岁以上的公犬有60%都有不同程度的前列腺肥大。临床特征为排便困难。主要症状是里急后重、排便困难或便秘,患犬频频努责,仅排出少量黏液。偶有少尿、血尿和膀胱膨满现象。
狗狗前列腺炎的症状:急性前列腺炎:体温升高,精神沉郁,食欲废绝。由于疼痛而行定缓慢,步态拘谨。并有便秘和里急后重的表现。直肠、腹部触诊,可感知前列腺肥大、有压痛,前列腺脓肿的有波动感,采不出精液。前列腺脓肿的犬,可见排尿困难或尿闭。
狗狗的前列腺肿大会表现为频尿、血尿、尿淋漓、尿线细、食欲下降等症状,建议主人及时带狗狗到医院进行检查,确定狗狗前列腺肿大的具体原因,然后进行治疗。

狗狗前列腺炎症状
〖One〗、狗狗前列腺炎的症状:急性前列腺炎:体温升高,精神沉郁,食欲废绝。由于疼痛而行定缓慢,步态拘谨。并有便秘和里急后重的表现。直肠、腹部触诊,可感知前列腺肥大、有压痛,前列腺脓肿的有波动感,采不出精液。前列腺脓肿的犬,可见排尿困难或尿闭。
〖Two〗、狗狗的前列腺炎症状可以包括以下几点: 尿频、尿急、尿痛:狗狗可能会频繁地尝试排尿,但每次只能排出少量尿液。排尿时可能表现出不适或痛苦。 血尿:尿液中可能会有血迹,这是由于前列腺炎症导致的。 排便困难:由于前列腺位于直肠附近,当前列腺发炎时,可能会导致排便困难或疼痛。
〖Three〗、狗狗前列腺炎分为急性和慢性,初期典型症状是射精量增加、精液稀薄、疼痛反射。当两侧发炎时,则有两侧睾丸拉紧的现象。前列腺炎会导致里急后重、便秘、尿潴留及尿失禁、精神沉郁、厌食、体温升高。
〖Four〗、狗狗患前列腺炎往往是细菌感染导致,分为急性和慢性。急性有较明显的临床症状,如体温升高、精神不振、食欲废绝。由于疼痛而步态缓慢,可能会有便秘或里急后重(有频繁的排便动作,却没有排便)的表现,前列腺肿大,出现排尿困难或尿闭。
〖Five〗、狗狗前列腺炎是一种常见的疾病,主要表现为排尿困难、尿量减少、骑坐痛、便秘等症状。患病的狗狗需要及时治疗,才能避免症状加重甚至发展成为狗狗的膀胱炎、尿道炎等其他细菌感染。狗狗前列腺炎的治疗方法狗狗前列腺炎的治疗主要依靠药物治疗和手术治疗。药物治疗中一般会用到抗生素和消炎药。
〖Six〗、尿道炎是由细菌感染引起的疾病,狗狗可能会出现尿频、尿急、排尿困难、尿痛等症状。在尿道口会出现黄色或绿色的脓液,这些脓液可能会伴随着尿液一起排出。同时,狗狗的尿液可能会变得混浊,有时会带有血。前列腺炎是由细菌侵入前列腺引起的疾病,常见于中老年公狗。症状包括排尿困难、尿频、尿急、尿痛等。

狗狗前列腺炎的症状
〖One〗、狗狗前列腺炎的症状:急性前列腺炎:体温升高,精神沉郁,食欲废绝。由于疼痛而行定缓慢,步态拘谨。并有便秘和里急后重的表现。直肠、腹部触诊,可感知前列腺肥大、有压痛,前列腺脓肿的有波动感,采不出精液。前列腺脓肿的犬,可见排尿困难或尿闭。
〖Two〗、狗狗的前列腺炎症状可以包括以下几点: 尿频、尿急、尿痛:狗狗可能会频繁地尝试排尿,但每次只能排出少量尿液。排尿时可能表现出不适或痛苦。 血尿:尿液中可能会有血迹,这是由于前列腺炎症导致的。 排便困难:由于前列腺位于直肠附近,当前列腺发炎时,可能会导致排便困难或疼痛。
〖Three〗、狗狗前列腺炎分为急性和慢性,初期典型症状是射精量增加、精液稀薄、疼痛反射。当两侧发炎时,则有两侧睾丸拉紧的现象。前列腺炎会导致里急后重、便秘、尿潴留及尿失禁、精神沉郁、厌食、体温升高。
〖Four〗、狗狗患前列腺炎往往是细菌感染导致,分为急性和慢性。急性有较明显的临床症状,如体温升高、精神不振、食欲废绝。由于疼痛而步态缓慢,可能会有便秘或里急后重(有频繁的排便动作,却没有排便)的表现,前列腺肿大,出现排尿困难或尿闭。

狗狗前列腺肿大会怎么样?
〖One〗、狗狗前列腺肿大是一种常见的疾病,通常会影响到成年雄性犬。前列腺是一种位于狗狗骨盆内的器官,主要负责生产和储存精液。当前列腺肿大时,会对狗狗的健康和生殖能力造成影响。以下是对于狗狗前列腺肿大的详细 原因 前列腺肿大的原因可能是由于雄性激素水平的变化引起的。
〖Two〗、前列腺肥大是老龄公犬前列腺功能障碍的常见病。6岁以上的公犬有60%都有不同程度的前列腺肥大。临床特征为排便困难。主要症状是里急后重、排便困难或便秘,患犬频频努责,仅排出少量黏液。偶有少尿、血尿和膀胱膨满现象。有的病例由于过度努责,腹压加大,致使肥大的前列腺进入骨盆腔而形成会阴疝。
〖Three〗、狗前列腺肿大是一种常见的生殖系统疾病,多见于老年犬。前列腺肿大通常会压迫尿道,导致狗狗频繁排尿,同时也可能出现里急后重、排便困难、便秘、尿血、排尿疼痛等症状。有的狗狗甚至会因为尿频和过度努责,导致腹压增大,肥大的前列腺进入骨盆腔后,容易形成会阴疝。
〖Four〗、狗狗的前列腺肿大会表现为频尿、血尿、尿淋漓、尿线细、食欲下降等症状,建议主人及时带狗狗到医院进行检查,确定狗狗前列腺肿大的具体原因,然后进行治疗。
〖Five〗、急性前列腺炎:体温升高,精神沉郁,食欲废绝。由于疼痛而行定缓慢,步态拘谨。并有便秘和里急后重的表现。直肠、腹部触诊,可感知前列腺肥大、有压痛,前列腺脓肿的有波动感,采不出精液。前列腺脓肿的犬,可见排尿困难或尿闭。慢性前列腺炎:犬的慢性前列腺炎,很少见到明显的临床症状。

狗狗前列腺囊肿的症状有哪些
〖One〗、狗狗前列腺囊肿的症状较为明显,通常包括以下几方面:排尿困难:这是最常见的症状,尿量可能减少,甚至出现尿失禁现象。腹部疼痛:狗狗可能会感觉到腹部疼痛,因此不愿意活动,食欲减退,精神状态也会变得萎靡。排便困难:由于囊肿对直肠的压迫,狗狗可能会出现排便困难。
〖Two〗、体温升高,精神沉郁,食欲废绝。由于疼痛而行定缓慢,步态拘谨。并有便秘和里急后重的表现。直肠、腹部触诊,可感知前列腺肥大、有压痛,前列腺脓肿的有波动感,采不出精液。前列腺脓肿的犬,可见排尿困难或尿闭。犬的慢性前列腺炎,很少见到明显的临床症状。
〖Three〗、表现为频尿、血尿、尿淋漓、尿线细、食欲下降等症状,建议主人及时带狗狗到医院进行检查,确定狗狗前列腺肿大的具体原因,然后进行治疗。
〖Four〗、主要症状:无尿,粪便少 基本上和前列腺肥大相同,当囊肿大到足以压迫附近直肠和尿道时,导致排便和排尿得障碍,当囊肿被感染时,则转为前列腺炎。
〖Five〗、前列腺炎初期的典型症状是射精量增加,精液稀薄和pH值增加到8~检查精液时,可见精子的活力和浓度下降,精子凝集,有白细胞等。在精液中可分离出各种微生物。前列腺炎最初表现为疼痛反射,即通过直肠触摸患侧前列腺时,可发现睾丸被拉向阴囊内腹股沟管部。

狗前列腺癌的早期症状和预防手段
前列腺癌的症状会逐渐发展,包括排尿异常,排便,便秘,呕吐,阴茎血性排出,跛行,嗜睡,食欲和体重减轻,虚弱和抑郁,对于这些症状有的狗狗表现一部分,有的不会表现,有的全部会表现这些症状。注意到这些症状的主人应该尽快把狗带到兽医那里进行诊断和治疗。
狗狗前列腺炎的防范措施 先使膀胱内的尿液排空,通过直肠按摩前列腺,采集前列腺液体培养并作药敏试验,以选取使用抗生素,同时配合解热镇痛、缓泻、导尿等对症治疗。 前列腺脓肿,用上述方法无效时,应手术切开排脓,并做外瘘术。 临床经验证明,给狗狗绝育,可促进前列腺炎的痊愈。
体温升高,精神沉郁,食欲废绝。由于疼痛而行定缓慢,步态拘谨。并有便秘和里急后重的表现。直肠、腹部触诊,可感知前列腺肥大、有压痛,前列腺脓肿的有波动感,采不出精液。前列腺脓肿的犬,可见排尿困难或尿闭。
· 呼吸、排便和/或排尿困难 如果您注意到您的狗显示上述任何症状,就要立刻带它们去看兽医,以便他们可以进行彻底的检查。这些迹象也可能存在于许多其他疾病中,早期诊断是至关重要的。
关于狗狗前列腺肿大的症状和狗狗前列腺肿大的症状表现的介绍到此就结束了,不知道你从中找到你需要的信息了吗 ?如果你还想了解更多这方面的信息,记得收藏关注本站。



还没有评论,来说两句吧...